[로이슈 임한희 기자] 과거에는 ‘인공관절 수술’로 대표되던 퇴행성관절염 치료가, 의학기술의 발전으로 자신의 무릎관절을 보존하는 ‘재생치료’로 인식이 바뀌고 있다.
18일 의료계에 따르면 무릎 연골이 닳아 없어지는 질환인 ‘퇴행성관절염’은 연골손상 정도에 따라 1기부터 4기로 나뉜다. 초 중기에는 보존적 치료가 가능하지만, ‘말기’에 접어든 4기 상태에서는 인공관절 수술이 필요하다. 인공관절 수술은 기존의 닳아버린 무릎관절 자체를, 인공적으로 만들어진 인공관절로 바꿔주는 수술을 말한다. 약 1시간~1시간 30분 가량 수술시간이 소요되고, 이후 약 2주의 입원기간이 필요하다고 전했다.
◇인공관절 수술 부담 환자, 자기관절 보존하는 치료에 관심
최근에는 자신의 몸에 인공적으로 만들어진 관절을 이식하는 인공관절 수술에 대한 부담을 느껴, 수술을 받지 않고 극심한 통증을 참는 환자들이 많다. 때문에 기존 보존적 치료에 ‘재생의학’이 결합되어 자신의 무릎을 보존하는 ‘재생치료’에 대한 의학계의 연구가 지속되고 있다.
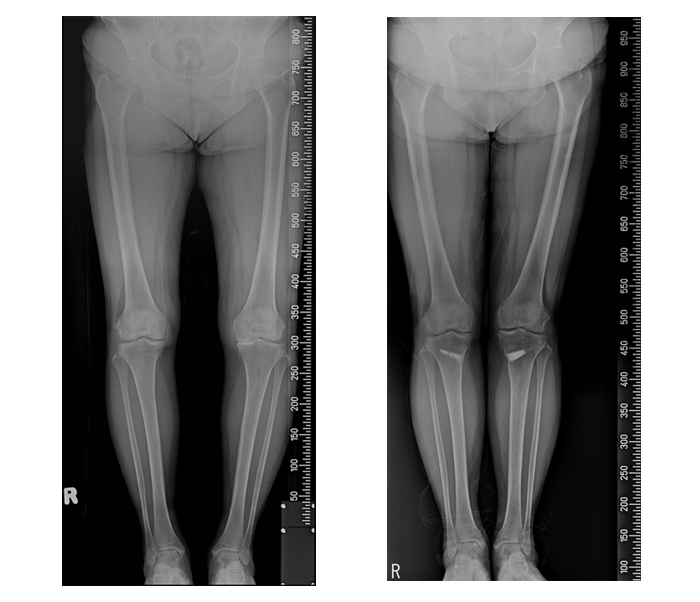
무릎 퇴행성관절염으로 인해 O자형으로 휜 다리를 교정하기 위한 ‘휜 다리 교정술’은 휘어진 다리를 골반부터 발목까지 일자로 교정하는데 주 목적이 있지만, 이미 손상된 무릎 안쪽 연골로 인한 통증이 지속되는 경우가 많았다. 이에 기존에 시행되던 ‘휜다리 교정술’에 ‘줄기세포 재생의학’을 동시에 시행하여, 하지정렬은 물론이고 손상된 연골을 재생해 이에 따른 통증을 감소시켜 임상적 호전도가 높아졌다는 연구 결과가 나왔다.
◇인공관절 필요한 연골결손 3~4기 환자, ‘휜다리교정술’과 ‘연골재생술’ 동시 치료 호전
강남 연세사랑병원 무릎관절 연구팀(고용곤, 권오룡, 서동석, 허동범, 탁대현, 정필구)은 2016년 1월부터 8월까지, 인공관절 수술이 필요한 퇴행성관절염 3, 4기 환자에서 근위경골 외반절골술(휜다리 교정술)과 함께 자가 지방 줄기세포를 이용한 연골재생술을 시행했다.
인공관절이 필요하나 수술을 거부한 49명의 환자에서 근위 경골 절골술을 시행한 후, 자가 지방 유래 줄기세포와 타가 연골세포를 혼합하여 연골이 거의 없는 부분에 이식한 후 결과를 지켜봤다. 수술 후 1년이 지나 관절내시경 검사 및 임상결과에서 연골이 재생되었으며, 증상의 호전도 많이 좋아졌다.
강남 연세사랑병원 연구팀 허동범 진료부장은 “관절내시경을 통해 확인한 연골 재생률은 자가 지방 줄기세포와 동종 연골세포를 혼합하여 주입한 그룹이 연골 재생효과가 가장 큰 것으로 나타났다”며, “통증감소와 삶의 질 개선 정도 등 임상적으로도 의미 있는 호전 효과를 얻었다”고 덧붙였다.
◇ 인공관절 수술 대체가능성 임상 연구결과, 국제 학술대회서 발표돼
해당 연구결과는, 중국 마카오에서 4월 12일 폐막한 ‘2018 국제연골재생학회(ICRS:International Cartilage Repair Society)’에서, 연구팀 허동범 진료부장이 ‘내반 변형이 동반된 퇴행성관절염 환자에서 시행된 근위경골 외반절골술과 세가지 서로 다른 연골재생술의 추시 내시경 결과 비교(Comparative Study of Second-look Arthroscopic Assessment after Three Different Cartilage Repair Methods with High Tibial Osteotomy)’라는 주제로 발표했다.
올해로 14회를 맞는 ‘2018 국제연골재생학회’는 그간 전 세계 연골 재생의학 전문가들이 모여, 연구결과를 통한 토론과 지견을 넓히는 재생의학계 대표적 국제 학술대회다. 이번 학회는 중국, 미국, 일본, 영국, 이탈리아, 독일 등 21개국에서 약 300 여명의 전문의 및 재생의학계 석학들이 모인 가운데 성황리에 막을 내렸다. 이번 학회에서 연구결과를 발표한 국내 의료기관은 강남 연세사랑병원, 서울대병원, 삼성의료원 등 3곳이다.
특히 강남 연세사랑병원의 ‘자가 지방 줄기세포 치료’를 연구한 임상 연구결과는 세계적 학술대회 및 연구기관으로부터 주목을 받고 있다. 2012년 ‘국제 연골재생학회(ICRS)’를 시작으로, 세계 최대 규모의 ‘미국 정형외과 학회(AAOS)’, ‘미국재생학회(TOBI)’ 등의 국제 학술대회에 초청을 받아 지속적으로 연구결과를 발표하고 있다. 또한 성체 줄기세포 연구를 주도하는 이탈리아의 리졸리 연구센터, 일본 히로시마 대학 정형외과, 중국 하이난 의과대학 제1부속병원과 줄기세포 치료에 관한 공동연구 협약을 체결해 활발한 연구활동을 펼치고 있다.
강남 연세사랑병원 고용곤 병원장은 “퇴행성관절염 말기에서 줄기세포를 이용한 재생의학이 인공관절을 대체할 수 있는 가능성 있는 연구 결과였다”고 말하는 한편, “지속적인 연구를 통하여 가능한 인공관절 대신 자기 관절을 보존하는 기술을 개발하겠다”고 포부를 밝혔다.
임한희 기자 newyork291@lawissue.co.kr
[MD 리포트] 무릎 퇴행성관절염, ‘줄기세포 재생치료’ 연구 결과 발표
기사입력:2018-04-18 23:30:45
<저작권자 © 로이슈, 무단 전재 및 재배포 금지>
로이슈가 제공하는 콘텐츠에 대해 독자는 친근하게 접근할 권리와 정정ㆍ반론ㆍ추후 보도를 청구 할 권리가 있습니다.
메일:law@lawissue.co.kr / 전화번호:02-6925-0217
메일:law@lawissue.co.kr / 전화번호:02-6925-0217
주요뉴스
핫포커스
투데이 이슈
투데이 판결 〉
베스트클릭 〉
주식시황 〉
| 항목 | 현재가 | 전일대비 |
|---|---|---|
| 코스피 | 4,099.48 | ▲18.33 |
| 코스닥 | 890.29 | ▼11.30 |
| 코스피200 | 576.81 | ▲5.30 |
가상화폐 시세 〉
| 암호화폐 | 현재가 | 기준대비 |
|---|---|---|
| 비트코인 | 164,138,000 | ▼1,092,000 |
| 비트코인캐시 | 842,500 | ▲8,000 |
| 이더리움 | 5,865,000 | ▼9,000 |
| 이더리움클래식 | 23,760 | ▼190 |
| 리플 | 3,794 | ▼52 |
| 퀀텀 | 2,919 | ▼52 |
| 암호화폐 | 현재가 | 기준대비 |
|---|---|---|
| 비트코인 | 164,395,000 | ▼965,000 |
| 이더리움 | 5,874,000 | ▼1,000 |
| 이더리움클래식 | 23,760 | ▼180 |
| 메탈 | 702 | ▼11 |
| 리스크 | 316 | ▼1 |
| 리플 | 3,801 | ▼47 |
| 에이다 | 952 | ▼12 |
| 스팀 | 131 | ▼2 |
| 암호화폐 | 현재가 | 기준대비 |
|---|---|---|
| 비트코인 | 163,910,000 | ▼1,180,000 |
| 비트코인캐시 | 843,500 | ▲9,000 |
| 이더리움 | 5,865,000 | ▼5,000 |
| 이더리움클래식 | 23,770 | ▼150 |
| 리플 | 3,794 | ▼52 |
| 퀀텀 | 2,929 | ▼51 |
| 이오타 | 209 | ▼5 |









